Skip to content
  • Science
  • Wellness
  • Food
  • Lists
  • More
    • Animals
    • Astronomy
    • Brain Health
    • Beauty
    • Cancer Research
    • Children
    • Diet Studies
    • Education
    • Environment News
    • Exercise
    • Historical Research
    • Longer Life News
    • Money News
    • Parenting Research
    • Politics
    • Society
    • Sports
    • Weight Loss Studies
    • Weird
  • Newsletter
  • Brain Games
    • Around The Word
    • Clashword
    • Spellmazing
    • WhizWords

Home › x-rays

x-rays

Artist’s impression of a classical nova eruption. (Credit: K

Cosmic X-ray mystery solved — Scientists discover new class of exploding stars

December 31, 2024

Woman having X-ray on legs

Groundbreaking technique to reduce radiation could soon make X-ray scans safer

November 13, 2024

Researchers grew crystals of a pure actinium compound, seen here through a microscope, to understand how actinium binds to other molecules in a solid

Caught in the actinium

July 15, 2024

Artist's Depiction Of A Black Hole

NASA spots ‘Death Star’ black holes that swivel to fire planet-killing beams

May 28, 2024

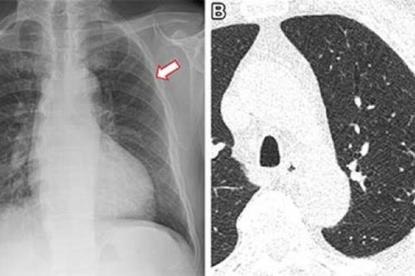
Frontal chest X-ray shows a small nodular opacity (arrow) in the left upper lung zone. Axial, non-contrast, low-dose chest CT scan shows a 9-mm solid nodule (arrow) in the left upper lobe.

Are non-smokers still at high risk for lung cancer? AI has the answer

November 29, 2023

lung cancer

Artificial intelligence may be better than humans at seeing lung cancer in X-rays

November 10, 2023

Doctor looking at x-ray of lungs

Radiologists still do better job of diagnosing lung diseases than artificial intelligence

September 26, 2023

Artificial Intelligence (AI)

Artificial intelligence can tell someone’s ‘real’ age by looking at their chest

August 16, 2023

Futuristic robotics examining a tooth

New AI program may soon be your dentist’s most trusted assistant

August 9, 2023

Personal Items, liquids and laptop in container at airport security check before flight.

Why do I have to take my laptop out of the bag at airport security?

July 17, 2023

image of a much wider view of the center of the Milky Way obtained by Chandra.

Listen to this eerie echo coming from Milky Way’s supermassive black hole

June 21, 2023

Illustration of an Atom under X-ray scan

‘Holy grail of physics’: Scientists capture first-ever X-ray of single atom

June 1, 2023

Posts navigation

  • 1
  • 2
  • Go to Next Page

As Seen On

Back to top
StudyFinds
  • About
    • Our Story
    • Editorial Team
    • Our Mission & Standards
    • Contact
    • AI Policy
  • Features
    • Lists
    • Google Publisher Feature
    • Who’s Mentioned Us
    • sciPR
    • Score My Meal
  • Games
    • Clashword
    • Peekavue!
    • Whizwords

©2026 StudyFinds. All rights reserved. Privacy Policy • Disclosure Policy • Do Not Sell My Personal Information