
Small amounts of movement every day may lower your risk for dementia. (© NDABCREATIVITY - stock.adobe.com)
BARCELONA, Spain — As we age, our bodies undergo numerous changes, many of which are unwelcome. One of the most significant and potentially debilitating changes is the loss of muscle mass and function, a condition known as sarcopenia. This age-related muscle wasting can lead to decreased mobility, increased risk of falls, and a lower quality of life for older adults. But what if there was a way to slow down or even prevent this muscle loss? A new study suggests that the key to maintaining youthful muscles may lie within our cells’ own recycling system.
Researchers from the University of Barcelona and the Institute for Research in Biomedicine, have discovered that a protein called TP53INP2 plays a crucial role in maintaining muscle health as we age. This protein acts as a regulator of autophagy, a cellular process that helps clear out damaged components and recycle nutrients. Think of autophagy as your body’s internal housekeeping service, constantly tidying up and removing cellular clutter.
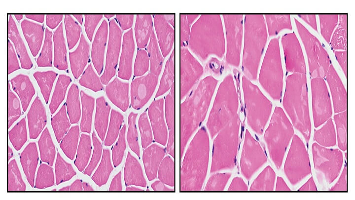
The study, published in the journal Autophagy, found that levels of TP53INP2 decrease in both human and mouse muscles as they age. This decline in TP53INP2 is associated with reduced autophagy, which may contribute to the development of sarcopenia. However, the exciting news is that when the researchers increased levels of TP53INP2 in older mice, they saw remarkable improvements in muscle health and function.
“This study not only highlights the importance of keeping autophagy active in muscles to prevent muscle mass loss, but also gives us hope for possible treatments that could improve, or mitigate, the effects of aging on our muscles,” explains study co-author Antonio Zorzano, a professor at the Department of Biochemistry and Molecular Biomedicine at the UB’s Faculty of Biology, in a statement.
“In addition, activation of autophagy through the TP53INP2 protein improved the quality of mitochondria, cell organelles that are essential for generating energy. In previous studies, we had already shown that this process is altered during aging,” adds Professor David Sebastián, a member of the Department of Biochemistry and Physiology at the UB’s Faculty of Pharmacy and Food Sciences.

But what does this mean for humans? The researchers also examined muscle samples from people of different ages and found a compelling connection. Individuals with higher levels of TP53INP2 in their muscles tended to have greater hand grip strength, a common measure of overall muscle function. Moreover, these individuals were more likely to be classified as “healthy agers,” with fewer age-related health problems.
This discovery opens up exciting possibilities for developing new treatments to combat sarcopenia and promote healthy aging. Imagine a future where a simple medication or therapy could help maintain your muscle strength and function well into your golden years, allowing you to stay active, independent, and healthy for longer.
As more of the global population reaches old age, finding ways to promote healthy aging becomes increasingly important. This study sheds light on the underlying mechanisms of muscle aging and offers hope for maintaining strength and vitality throughout our lives. It seems that the fountain of youth might not be a mythical spring after all but rather a cellular recycling system within our own muscles.
Paper Summary
Methodology
The researchers used a combination of techniques to study TP53INP2 and its effects on muscle aging. They examined muscle samples from both humans and mice of different ages, measuring levels of TP53INP2 and other related proteins. In mice, they used genetic engineering to create animals that produced more TP53INP2 in their muscles than normal.
These mice were then studied as they aged to see how increased TP53INP2 affected their muscle health. The researchers also used a technique called adeno-associated viral transduction to temporarily increase TP53INP2 in the muscles of older mice.
Key Results
The study found that TP53INP2 levels decrease with age in both human and mouse muscles. Mice engineered to have higher levels of TP53INP2 in their muscles throughout life maintained better muscle mass and function as they aged compared to normal mice. Even when TP53INP2 was increased only in old age, mice showed improvements in muscle health. In humans, higher levels of TP53INP2 were associated with greater hand grip strength and overall healthier aging.
Study Limitations
While the results are promising, it’s important to note that much of the research was conducted in mice, and human biology can be different. The human data, while supportive, was correlational, meaning it showed a relationship between TP53INP2 levels and muscle health but didn’t prove that one directly causes the other. More research is needed to confirm these findings in humans and to develop potential treatments based on this discovery.
Discussion & Takeaways
This study highlights the importance of autophagy in maintaining muscle health during aging. It suggests that declining levels of TP53INP2 and reduced autophagy may be key factors in the development of sarcopenia. The ability to improve muscle health by increasing TP53INP2, even in old age, is particularly exciting as it suggests potential for new therapies. The researchers propose that targeting TP53INP2 or autophagy could be a promising strategy for preventing or treating age-related muscle loss.
Funding & Disclosures
The study was supported by various research grants from Spanish and European organizations, including the Ministry of Science and Innovation, the Generalitat de Catalunya, and the European Foundation for the Study of Diabetes. The researchers declared no conflicts of interest related to this study.







