
(Credit: Bohdan Malitskiy/Shutterstock)
COPENHAGEN, Denmark — The 2024 Olympics put breakdancing in the spotlight, but a new report may give many people second thoughts about showing off their best moves. Researchers in Denmark have discovered a potentially dangerous side-effect of this popular dance form: the “headspin hole.”
Few styles are as visually striking and physically demanding as breakdancing. With its gravity-defying spins, acrobatic flips, and intricate footwork, breakdancing has captivated audiences for decades. However, a recent study published in the journal BMJ Case Reports reveals that the majority of breakdancers who perform headspins may be at risk of developing a large tumor-like growth on the top of their scalp.
Researchers from the Department of Neurosurgery at Copenhagen University Hospital add that this unique overuse injury, colloquially known as a “headspin hole” or “breakdancer’s bulge,” is often accompanied by hair loss and tenderness.
The new study focuses on a male breakdancer in his early 30s who developed a prominent scalp bump over five years of intense headspin practice. Despite concerns over his appearance and physical discomfort, the dancer continued his rigorous training regimen, which included approximately five 90-minute sessions per week. During each session, he would apply direct pressure to the top of his head for periods ranging from two to seven minutes.

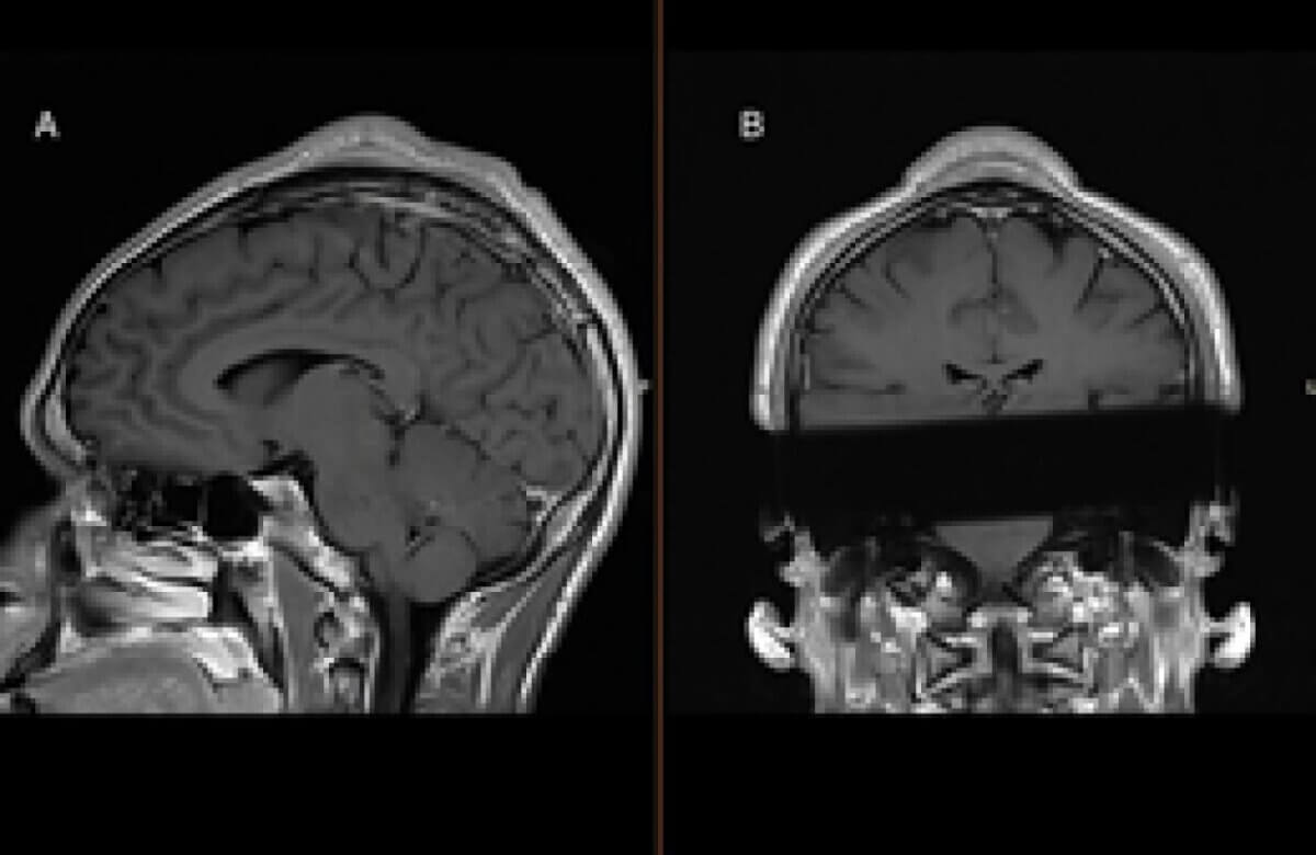
Upon examination, doctors discovered a longitudinal mass at the vertex of the patient’s skull. MRI scans revealed significant subgaleal fibrosis and thickening of the subcutis (the layer of tissue right under the skin), consistent with what radiologists call the “cone-head sign.” This sign is characterized by a cone-shaped deformity at the top of the skull, resulting from repeated trauma to the area.
The fibrous mass was successfully removed surgically, improving his appearance and providing symptom relief. An analysis of the removed tissue showed extensive fibrosis, a buildup and stiffening of tissue into a hard-to-move mass. Importantly, however, there were no signs that the mass was cancerous. At a one-month follow-up appointment, the patient expressed extreme satisfaction with the procedure, noting a significant reduction in the protuberance on his head.

This case study highlights the importance of recognizing chronic scalp conditions, especially among breakdancers, and suggests that surgical intervention can be an effective treatment option. It also underscores the need for awareness among dancers and medical professionals about the potential long-term effects of repetitive head-spinning movements.
The “headspin hole” is just one example of what researchers call “breakdancer overuse syndrome.” This collection of chronic conditions can affect various parts of the body, including the wrists, fingers, knees, and shoulders. In fact, a German study of 106 breakdancers found that over 60% experienced overuse injuries to the scalp due to headspins, with nearly a third reporting hair loss and about a quarter developing painless head bumps.
While breakdancing has long been celebrated for its creativity and athletic prowess, this research serves as a reminder that even the most impressive dance moves can come with hidden risks. As breakdancing continues to gain popularity after its Olympic debut, it’s crucial for dancers, trainers, and healthcare providers to be aware of these potential injuries and take steps to prevent them.
For aspiring b-boys and b-girls, this study doesn’t mean hanging up your sneakers just yet. Instead, it emphasizes the importance of proper training, adequate rest, and seeking medical attention when unusual symptoms arise. After all, the goal is to keep breaking without breaking yourself.
Paper Summary
Methodology
The researchers conducted a detailed case study of a single patient, a male breakdancer in his early 30s. They performed a physical examination of the scalp protuberance and used Magnetic Resonance Imaging (MRI) to visualize the internal structure of the mass. The patient then underwent surgical removal of the fibrous mass, which was analyzed histologically to determine its composition and rule out any malignancy.
Key Results
The MRI revealed a subgaleal mass measuring 33.4 Ă— 0.6 Ă— 2.9 cm near the midline vertex of the skull. The skin and subcutaneous tissue were thickened above this mass, and the skull underneath showed slight thickening compared to surrounding areas. Histological analysis of the removed tissue showed extensive fibrosis but no signs of cancer. At a one-month follow-up appointment, the patient reported high satisfaction with the surgical outcome.
Study Limitations
This study is based on a single case, which limits its generalizability to the broader population of breakdancers. More extensive research with larger sample sizes would be needed to fully understand the prevalence and variations of this condition among breakdancers.
Discussion & Takeaways
The researchers highlight that “headspin hole” is a recognized but poorly documented condition in the medical literature. This case report provides valuable insights into the diagnosis, treatment, and outcomes of this overuse injury. The successful surgical intervention suggests that this could be an effective treatment option for similar cases. The study also emphasizes the need for greater awareness of chronic scalp conditions among breakdancers and medical professionals.
Funding & Disclosures
The authors declared that they did not receive any specific grant for this research from public, commercial, or not-for-profit funding agencies. They also stated that there were no competing interests to disclose.







