
The gut needs "good" bacteria strains to thrive, whereas unhealthy bacteria could increase inflammation and worsen IBD. (© T. L. Furrer - stock.adobe.com)
DALLAS, Texas — Stomach problems are becoming a growing concern across the United States. Health officials say the number of Americans dealing with some form of inflammatory bowel disease (IBD) has skyrocketed over the last two decades. While research has looked at diets high in fat for the cause, a new study finds sugar may play a key role in worsening stomach issues. A team from the University of Texas Southwestern Medical Center says high-sugar diets damage the lining of a person’s gut and cause more severe cases of colitis.
“Colitis is a major public health problem in the U.S. and in other Western countries,” says study leader Hasan Zaki in a university release. “This is very important from a public health point of view.”
Researchers say colitis is a type of IBD which causes abdominal pain, persistent diarrhea, and rectal bleeding. Overall, the number of Americans dealing with IBD has jumped from two million in 1999 to three million in 2015. This also includes cases of Crohn’s disease, according to the Centers for Disease Control and Prevention.
It’s not just the fat, it’s the sugar
The study examined what makes a Western diet so problematic for gut health. These menus are typically full of fat, sugar, and animal protein. While high-fat intake has been linked to the onset of IBD, Zaki says sugar’s role has remained controversial among scientists. The new study finds the growing use of glucose in food production may be doing just as much harm.
The UT Southwestern team points to the development of high fructose corn syrup by the food industry in the 1960’s. They say this glucose-filled product has been increasingly used to sweeten drinks and some foods since its creation.
“The incidence of IBD has also increased in Western countries, particularly among children, over this same period,” Zaki and his team adds.
To test the theory, researchers fed mice water mixed with a 10-percent concentration of various sugars including glucose, fructose, and sucrose. Over the next week, mice with a high genetic risk for colitis developed more severe symptoms after being given sugar. Mice who received a chemical to induce colitis also showed the same severe problems after ingesting sugar.
What does sugar do to your gut?

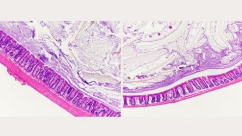
Gene-sequencing results reveal these simple sugars can drastically alter the bacteria living in a subject’s gut. Mice given sucrose, fructose, and particularly glucose had much more bacteria known to break down mucus in their microbial population. Researchers say this bacteria produces enzymes like Akkermansia which damage the protective layer of mucus lining the large intestine.
“The mucus layer protects intestinal mucosal tissue from infiltration of gut microbiota,” study authors explain. “Higher abundance of mucus-degrading bacteria, including Akkermansia muciniphila and Bacteroides fragilis, in glucose-treated mice is, therefore, a potential risk for the intestinal mucus barrier.”
When this mucus erodes, gut bacteria comes into close contact with the tissue layer of the large intestine. Breaking through this barrier can trigger inflammation in the intestines, researchers warn. The study also finds good bacteria, like Lactobacillus, decreased after exposure to sugar.
While glucose was found to have the largest impact on gut health, the Dallas team says “all three simple sugars profoundly altered the composition of gut microbiota.”
Zaki says his team will now look at how high-sugar intake affects the onset and symptoms of obesity, fatty liver disease, and degenerative conditions like Alzheimer’s disease.
The study appears in the journal Science Translational Medicine.







