
(Credit: EfteskiStudio/Shutterstock)
NEWARK, N.J. — Scars are often an unwelcome reminder of our old injuries. However, a surprising ally may help get rid of scars forever — intestinal parasites! Scientists have derived a protein from parasitic worms that shows the remarkable ability to accelerate healing and promote tissue regeneration in mice. The breakthrough is offering hope for improved recovery from injuries and surgeries in humans.
The protein, TGF-β mimic (also known as TGM), comes from a type of intestinal worm called Heligmosomoides polygyrus. While the idea of using worm-derived substances for medical treatment might seem strange or even unpleasant, researchers have long been interested in how parasites interact with their hosts’ immune systems. These tiny invaders have evolved sophisticated ways to modulate our bodies’ responses, and scientists believe some of these mechanisms could be harnessed for therapeutic purposes.
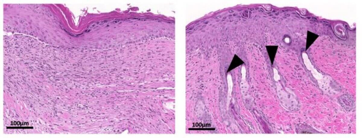
In a recent study published in Life Science Alliance, researchers applied TGM to skin wounds in mice and observed remarkable results. The treated wounds closed faster and, more importantly, healed with significantly less scarring compared to untreated wounds. Perhaps most exciting was the regeneration of hair follicles in the healed tissue – a sign that the skin was truly regenerating rather than just patching itself up.
“In this study, we have developed a novel therapy for the treatment of skin wounds that favors regenerative wound healing over tissue fibrosis and scarring,” says William C. Gause, Director of the Center for Immunity and Inflammation at Rutgers University, in a media release. “It provides a significant framework for the potential use of an easy-to-produce parasite protein as a therapy to promote cutaneous wound healing.”

Why is this breakthrough important?
To understand why this matters, it’s important to know how wounds typically heal. When your skin is injured, your body rushes to repair the damage. This process usually involves the formation of scar tissue, which is essentially a quick patch job. While scars serve the crucial purpose of closing wounds and preventing infection, they lack the flexibility and functionality of normal skin. Scars don’t have hair follicles or sweat glands, and they’re often more rigid than surrounding tissue.
The ability to heal wounds without scarring – or with minimal scarring – could have enormous implications. For individuals with extensive burns or other large wounds, it could mean the difference between disfiguring scars and near-normal skin. Even for smaller injuries, reduced scarring could prevent the loss of sensation or restriction of movement that sometimes accompanies scar tissue.
How does this worm protein work its magic?
The researchers found that TGM interacts with the same cellular receptors as a human protein called TGF-β, which plays a crucial role in wound healing. However, TGM seems to activate these receptors in a way that promotes regeneration rather than scarring.
One of the key effects observed was a change in the behavior of macrophages – important immune cells that help orchestrate the healing process. TGM appeared to “reprogram” these cells, steering them towards a state that favors tissue regeneration over scar formation.
The study also found that TGM-treated wounds showed improvements in collagen organization. Collagen is a protein that gives skin its structure, but in scar tissue, it tends to form parallel bundles that create a rigid, inflexible surface. In the TGM-treated wounds, collagen fibers arranged themselves in a more natural “basket-weave” pattern, similar to uninjured skin.
While these results are extremely promising, it’s important to note that the research is still in its early stages. The experiments were conducted on mice, and many treatments that show promise in animal studies don’t translate to humans. Additionally, more research is necessary to understand the long-term effects and potential side effects of TGM treatment.
Nevertheless, this study opens up exciting possibilities for wound treatment. If further research confirms these findings and proves the safety of TGM in humans, we might one day see this worm-derived protein used in hospitals and clinics to promote faster, scar-free healing.
Paper Summary
Methodology
The researchers created small, circular wounds on the backs of mice and covered them with a special bandage. They then applied either TGM or a control solution to the wounds daily. They took pictures of the wounds each day to measure how quickly they closed. After the wounds healed, they examined the tissue under a microscope to look at things like collagen arrangement and hair follicle regeneration. They also analyzed the types of immune cells present in the healing tissue.
Key Results
Wounds treated with TGM closed about 30-40% faster than untreated wounds. The healed skin in TGM-treated wounds looked more like normal skin, with a natural collagen arrangement and regenerated hair follicles. The researchers also observed changes in the types and behaviors of immune cells in the treated wounds, particularly in macrophages, which seemed to shift towards a more regenerative state.
Study Limitations
This study was conducted in mice, and results in animals don’t always translate to humans. The long-term effects and potential side effects of TGM treatment weren’t explored. Additionally, the study focused on simple wounds in otherwise healthy animals – it’s unclear how TGM might affect healing in more complex situations or in individuals with health conditions that impair wound healing.
Discussion & Takeaways
The researchers believe TGM could potentially be developed into a treatment to promote faster, scar-free healing in humans. The ability of TGM to promote true tissue regeneration, rather than just rapid closure with scar tissue, is particularly exciting. The study also provides insights into the mechanisms of wound healing and tissue regeneration, which could inform other areas of regenerative medicine research.
Funding & Disclosures
The study was funded by grants from the National Institute of Health and the Wellcome Trust. Some of the researchers involved have submitted a patent application related to this work, which could potentially lead to financial benefits if the treatment is commercialized in the future.







