
(© Feng Yu - stock.adobe.com)
OAK BROOK, Ill. — Most people have probably heard or seen examples of sound waves so powerful they can break glass. Now, a new cancer treatment is using sound to destroy tumors and cure men dealing with the disease. The new, noninvasive technique for prostate cancer focuses sound waves on the tumor area, heating the cancer calls until they are blasted out of existence.
“The results so far have been very good,” says the University of Toronto’s Dr. Sangeet Ghai in a media release by the Radiological Society of North America.
“We treated a smaller area using this device, yet still had very good results. At the same time the patients preserved their erectile and urinary function.”
Researchers say the focused treatment is more effective than surgery or radiotherapy, especially for patients whose cancer is still confined to the prostate.

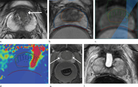
Successfully treating prostate cancer with heat and sound
The high-intensity focused ultrasound (HIFU) targets disease tissue with the guidance of an MRI scanner. A probe is placed in the patient’s rectum while they are under general anesthesia. It then delivers the intense sound waves to the tumor site. There are no needles or cuts to the skin.
Cancerous cells in the area are killed with the heat those ultrasound waves create, leaving healthy tissue alone. The procedure takes about four hours to complete. Study authors say similar procedures used to navigate heat treatment by ultrasound guidance alone. The new method, directing the procedure by MRI, is a more precise operation.
“By combining the high-intensity focused ultrasound device with MRI, we can target our treatment to the exact location, because we’re able to pinpoint precisely where the tumor is,” Dr. Ghai explains.
Researchers completed the treatment in 44 prostate cancer participants. None of the patients experienced any adverse reactions and, more importantly, biopsies on 41 men (93%) came back completely disease-free five months later.
Prostate cancer is the most common cancer in men. The American Cancer Society estimates that nearly 250,000 new cases will be diagnosed in the United States in 2021.
Using MRI technology is worth the cost
The study, published in the journal Radiology, is the first to combine ultrasound with MRI scans. While this requires additional expertise, resources, and cost, the benefits are numerous. Using MRI allows for “thermal feedback,” an important consideration since a temperature of over 140 degrees Fahrenheit is needed to kill cancerous tissue.
“MRI almost instantaneously gives feedback as to the temperature that we’ve been able to achieve at the site,” Dr. Ghai notes. “If the temperature was not what I wanted to get, I can reheat that area so that chances for successful treatment increase.”
Another bonus is MRI can show if there are any remaining blood vessels in the area. This is a warning sign that the cancer has not been completely eradicated.
Ghai’s team is awaiting approval from the U.S. Food and Drug Administration and Health Canada. They say the method has particular promise as an option for a significant number of patients who want to protect their quality of life and whose cancer has not spread.
The study lead author estimates of all those who undergo surgery or radiotherapy, around 20 to 30 percent would be eligible for focused sound treatments.
Standard prostate cancer treatments have their drawbacks
Standard treatments include removing the gland or exposing the entire prostate to radiation. These can cause collateral damage to surrounding sensitive tissues like the nerves, muscles, urine passage, bladder, and rectum. They also carry a risk of long-term urinary problems and erectile dysfunction of up to 30 and 60 percent, respectively.
The prostate is roughly the size of a walnut and sits between the bladder and the penis. The researchers are collecting two years of follow-up data from the participants that will be published in a future paper.
Prostate cancer strikes one in every eight men during their lifetime. It is the second-leading cause of cancer deaths among American men, only behind lung cancer. It usually develops slowly, so there may be no signs someone has it for many years.
SWNS writer Mark Waghorn contributed to this report.







