
(© picsfive - stock.adobe.com)
OSAKA, Japan — Unless you’re a vampire, it’s impossible to stay young forever. However, researchers in Japan may have found a way to delay the aging process. Their recent study identified the MondoA protein as the key to extending longevity.
The MondoA protein protects against senescent (aging) cells by activating a cellular process called autophagy. The process breaks down cells and recycles their components. In the words of Marie Kondo, “discard anything that doesn’t spark joy.”
The cellular version of spring cleaning helps maintain stable conditions in the cellular environment and makes the cell more resilient to stress. One of the areas that becomes stabilized in the cell is the mitochondria — the powerplants of the cell. MondaA regulates the Prdx3 molecule involved in mitochondrial turnover.
Autophagy activation via the MondoA protein simultaneously involves the suppression of Rubicon. This protein is an agent of chaos that stops the process of autophagy and speeds up the aging process in multiple tissues and organisms.

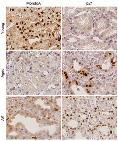
(CREDIT: 2022 Yamamoto-Imoto et al. Age-associated decline of MondoA drives cellular senescence through impaired autophagy and mitochondrial homeostasis. Cell Reports)
Less MondoA leads to accelerated aging
Study authors found a number of senescent cells in the kidneys. The team used mice to study the role of MondoA in this group of cells.
“Mice with ischemic AKI and reduced levels of MondoA showed increased senescence,” explains lead study author Hitomi Yamamoto-Imoto in a university release. “We also found that decreased MondoA in the nucleus correlated with human aging and ischemic AKI. MondoA therefore counteracts cellular senescence in aging and ischemic AKI in both mice and humans.”
Currently, there are drugs on the market (senolytics) that target and destroy senescent cells. However, eliminating senescent cells altogether could do more harm than good as they play other important roles in the body.
“Our work shows that the transcriptional activation of MondoA can protect against cellular senescence, kidney injury associated with aging, and organismal aging,” explains senior author Tamotsu Yoshimori. “Activation of MondoA and therefore autophagy could be a potentially safe therapeutic strategy.”
The study is published in the journal Cell Reports.







