
(Photo by Cast of Thousands on Shutterstock)
CHICAGO — Your favorite highly processed comfort foods may be doing more than just adding inches to your waistline. A new study reveals that ultra-processed foods might be secretly changing the composition of your muscles, even if you’re doing a good job of watching your weight.
Researchers from the University of California-San Francisco have uncovered a startling connection between highly processed foods and the buildup of fat within thigh muscles. The study, presented at the Radiological Society of North America’s annual meeting, suggests that what you eat could fundamentally alter your muscle structure — regardless of how much you exercise or how many calories you consume.
“In an adult population at risk for but without knee or hip osteoarthritis, consuming ultra-processed foods is linked to increased fat within the thigh muscles,” explains Dr. Zehra Akkaya, the study’s lead researcher, in a media release.

What exactly counts as an ultra-processed food?
Think of the items that line supermarket shelves: breakfast cereals, packaged snacks, hot dogs, soft drinks, frozen pizzas, mass-produced breads, and ready-to-eat meals. These foods are typically engineered to be irresistibly tasty, packed with a carefully calibrated mix of sugar, fat, salt, and carbohydrates that hijack the brain’s reward system, making them incredibly difficult to stop eating.
The study examined 666 individuals with an average age of 60 and a typical body mass index of 27 – which technically counts as being overweight. After analyzing the participants’ diets, researchers revealed that about 40% of their food intake consisted of ultra-processed items.

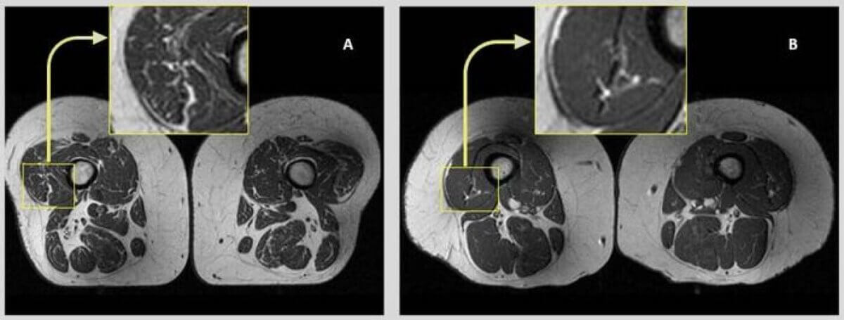
Using magnetic resonance imaging (MRI), researchers made a fascinating discovery. The more ultra-processed foods participants consumed, the more fat accumulated inside their thigh muscles. Critically, this relationship held true across different variables – it didn’t matter if participants were physically active or couch potatoes, consumed more or fewer calories, or had different body types.
This research is particularly important because muscle quality is directly linked to conditions like osteoarthritis.
“Research from our group and others has previously shown that quantitative and functional decline in thigh muscles is potentially associated with onset and progression of knee osteoarthritis,” Dr. Akkaya continues. “On MRI images, this decline can be seen as fatty degeneration of the muscle, where streaks of fat replace muscle fibers.”
The implications are significant. Osteoarthritis is not just a painful condition; it’s a major healthcare expense.
“It is the largest contributor to non-cancer related health care costs in the U.S. and around the world,” Dr. Akkaya explains.
While the study doesn’t suggest completely eliminating processed foods, it offers a powerful warning that diet quality matters – perhaps more than we previously thought. The research opens up new avenues for understanding how our food choices impact muscle health, suggesting that what we eat does far more than simply provide calories.







