
(© Prostock-studio - stock.adobe.com)
CHICAGO — A single glass of wine a week during pregnancy alters the structure of a baby’s brain, according to new research. Researchers with the Radiological Society of North America say that even small amounts of alcohol can lead to fetal alcohol syndrome (FAS) — a range of developmental problems.
These problems include learning disabilities, behavioral issues, and speech and language difficulties.
“Unfortunately, many pregnant women are unaware of the influence of alcohol on the fetus during pregnancy,” says lead author Patric Kienast, M.D., a Ph.D. student in the Department of Biomedical Imaging and Image-Guided Therapy, Division of Neuroradiology and Musculoskeletal Radiology at the Medical University of Vienna, in a media release.
“Therefore, it is our responsibility not only to do the research but also to actively educate the public about the effects of alcohol on the fetus.”
1 in 10 women drink during pregnancy
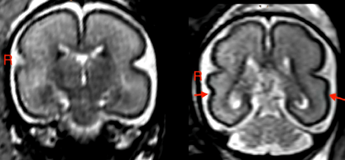
Doctors recommend total abstention for mother-to-be, but estimates show that at least one in 10 ignore the advice. The new findings are based on an analysis of MRI (magnetic resonance imaging) scans of 24 fetuses exposed to alcohol in the womb.
They were between 22 and 36 weeks of gestation at the time and identified via surveys of Austrian mothers’ drinking habits. It was part of a surveillance project called PRAMS (Pregnancy Risk Assessment Monitoring System). The questionnaire called T-ACE screens for risky drinking.
“Fetal MRI is a highly specialized and safe examination method that allows us to make accurate statements about brain maturation prenatally,” explains study senior author Gregor Kasprian, M.D., associate professor of radiology from the Department of Biomedical Imaging and Image-guided Therapy of the Medical University of Vienna.
Brain development, known as the fetal total maturation score (fTMS), was significantly reduced compared to healthy, age-matched controls. In particular, the right superior temporal sulcus (STS) was shallower, according to the Austrian team. The STS is involved in social cognition, audiovisual integration, and language perception.
“We found the greatest changes in the temporal brain region and STS,” Dr. Kasprian says. “We know that this region, and specifically the formation of the STS, has a great influence on language development during childhood.”
What are the symptoms of fetal alcohol syndrome?
Babies with FAS may have specific physical features such as smaller eyes, a thin upper lip, and a smooth area under the nose. Other problems include mental deficits, malformations of bones and major organs, inhibited growth, and central nervous system illnesses.
Children with FAS may also suffer from poor motor skills, higher mortality rates, and difficulties with learning, memory, social interaction, and attention span. One in 70 pregnancies with alcohol exposure result in FAS. It is a worldwide problem in western countries and the team notes that even low levels of drinking contributed to brain changes.
“Seventeen of 24 mothers drank alcohol relatively infrequently, with average alcohol consumption of less than one alcoholic drink per week,” Dr. Kienast adds. “Nevertheless, we were able to detect significant changes in these fetuses based on prenatal MRI.”

Three mothers consumed one to three drinks a week, and two drank between four and six beverages. One consumed an average of 14 or more beverages every week. Six also reported at least one binge drinking event — exceeding four drinks on one occasion — during their pregnancy.
Delayed fetal brain development could be specifically related to phenomena known as myelination and gyrification. The former is critical to brain and nervous system function in the frontal and occipital lobes.
Myelin protects nerve cells, allowing them to transmit information faster. Important developmental milestones among infants, such as rolling over, crawling, and language processing are directly linked to myelination.
Gyrification refers to folding of the cerebral cortex which enlarges the surface area with limited space in the skull, enabling an increase in cognitive performance. When gyrification is diminished, functionality is reduced.
“Pregnant women should strictly avoid alcohol consumption,” Dr. Kienast recommends. “As we show in our study, even low levels of alcohol consumption can lead to structural changes in brain development and delayed brain maturation.”
It is unclear how these structural changes will affect brain development in these babies after birth.
“To assess this accurately, we need to wait for the children who were examined as fetuses at that time to get a little older, so that we can invite them back for further examinations,” Dr. Kienast concludes. “However, we can strongly assume that the changes we discovered contribute to the cognitive and behavioral difficulties that may occur during childhood.”
The study authors presented their findings at the annual meeting of the Radiological Society of North America (RSNA).
South West News Service writer Mark Waghorn contributed to this report.







